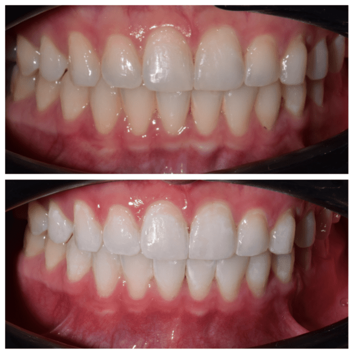
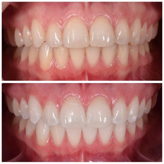
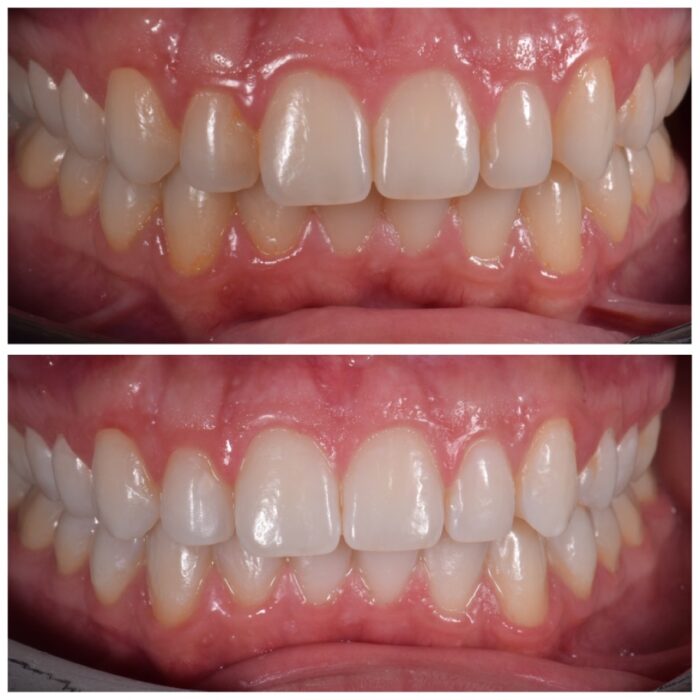
Zoom Whitening
Zoom Teeth whitening is an in-office whitening treatment that provides a safe and outstanding whitening result. Only dental professionals have access to this most powerful, professional-strength procedure to ensure that the results are optimized.
Zoom is a non-invasive procedure that lightens the staining or discoloration of tooth enamel. We set aside time to make custom whitening trays for every patient, which will allow us to make the treatment as comfortable as possible and allows you to maintain your white results at home in the future.
![]() |
![]() |
![]() |
![]() |
![]() |
![]() |
![]() |
![]() |
![]() |
![]() |
![]() |
![]() |
![]() |
![]() |
![]() |
![]() |
















